
Deborah
Smile Makeover with Porcelain Veneers
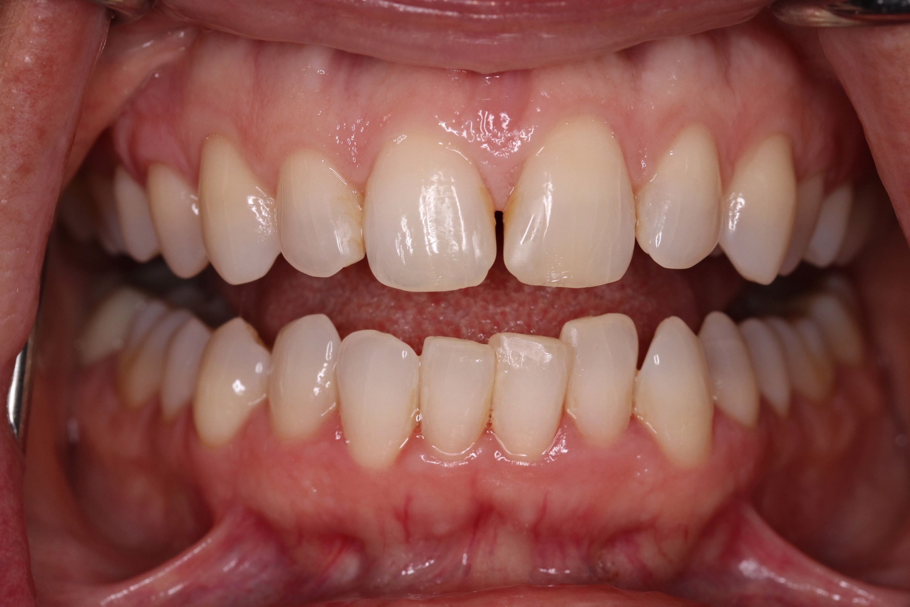
The Reason
“Deborah had healthy teeth, but her front teeth were chipping, showing signs of aging. She had a small gap between her front teeth that she always disliked and some of her teeth were crowded & misaligned. She wanted a bright, healthy smile that made her look and feel more youthful, but she also wanted to be sure her teeth would look natural, not artificial like some cosmetic dentistry she’s seen on other people.”

Diagnosis
Front teeth chipping with a small gap. Some teeth crowded and misaligned.

Recommended Treatment
- Custom smile design modeled in wax to visualize final outcome.
- Placement of temporary veneers for needed adjustments and patient feedback.
- Final placement of porcelain veneers bonded to her teeth.
“As I started to age into my later years, I felt like my teeth and my smile were losing the youthful appearance that I once had. I’ve always been someone who smiles a lot, but I began to realize I was hiding my smile in photos and while meeting someone new. My friend Scarlet has a gorgeous smile, and I didn’t even realize she had porcelain veneers, because her teeth look so natural. When she admitted she had her smile restored by Dr. Ajmo over two decades ago, I just had to go see him.
After having my smile restored, I feel prettier, healthier and younger. My husband notices I smile more often, and he says I act more confident in social settings. I highly recommend Dr. Ajmo as he’s the best cosmetic dentist I’ve ever known.”
Stellar Results. Our Best Advocates.


Complimentary Consultation
or 2nd Opinion
- Exam
- Full mouth X-rays
- Private Consultation with Doctor ($450value)
- 7100 Fairway Dr Ste 59,
Palm Beach Gardens, FL 33418 - (561) 627-8666
Working hours
- Monday: 8am - 5pm
- Tuesday: 8am - 5pm
- Wednesday: 8am - 5pm
- Thursday: 8am - 5pm
- Friday: 8am - 1pm
- Saturday & Sunday: Closed